Zum Inhalt springen
HOME
DEUTSCHE FORTBILDUNGEN
Veneer Präparation
Bisshebung und Bisslageveränderungen (Präsenz oder Online)
Prothetische Zahnmedizin
CMD Fortbildung
Ästhetik mit direkten Komposit Füllungen
Cybercrime & Darknet für Zahnärzte
Datengetriebene Zahnarztpraxis
INTERNATIONAL COURSES
Veneers Training Course
VDO Dental Training Course
Flowable Injection Anteriors Hands-on Course
Flowable Injection Posteriors Hands-on Course
DR. HAJTÓ
Patientenfälle
Wissenschaftliche Publikationen
Veneers – Wissenschaft und Technologie
Zahnmedizin Blog
ANTERIORES
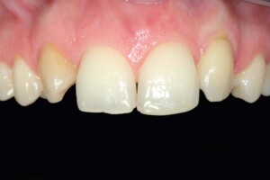
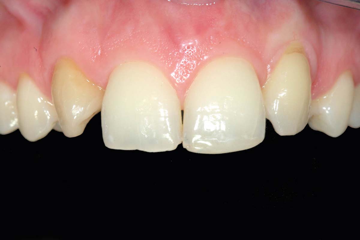
Komposit Füllungen Fall 3 vorher
admin
2025-07-29T13:48:15+01:00
Page load link
Nach oben