Day 1: Theoretical Part – Functional Program
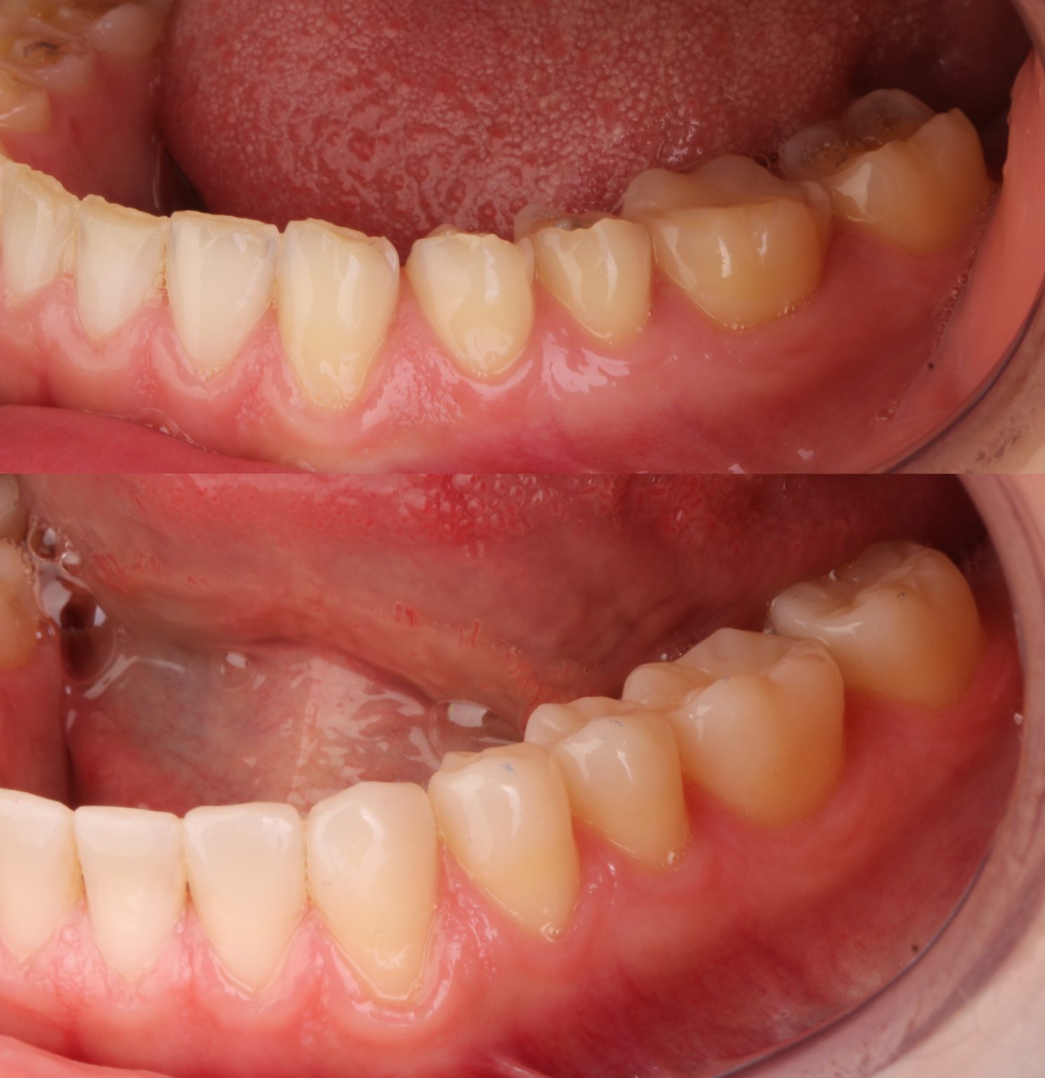
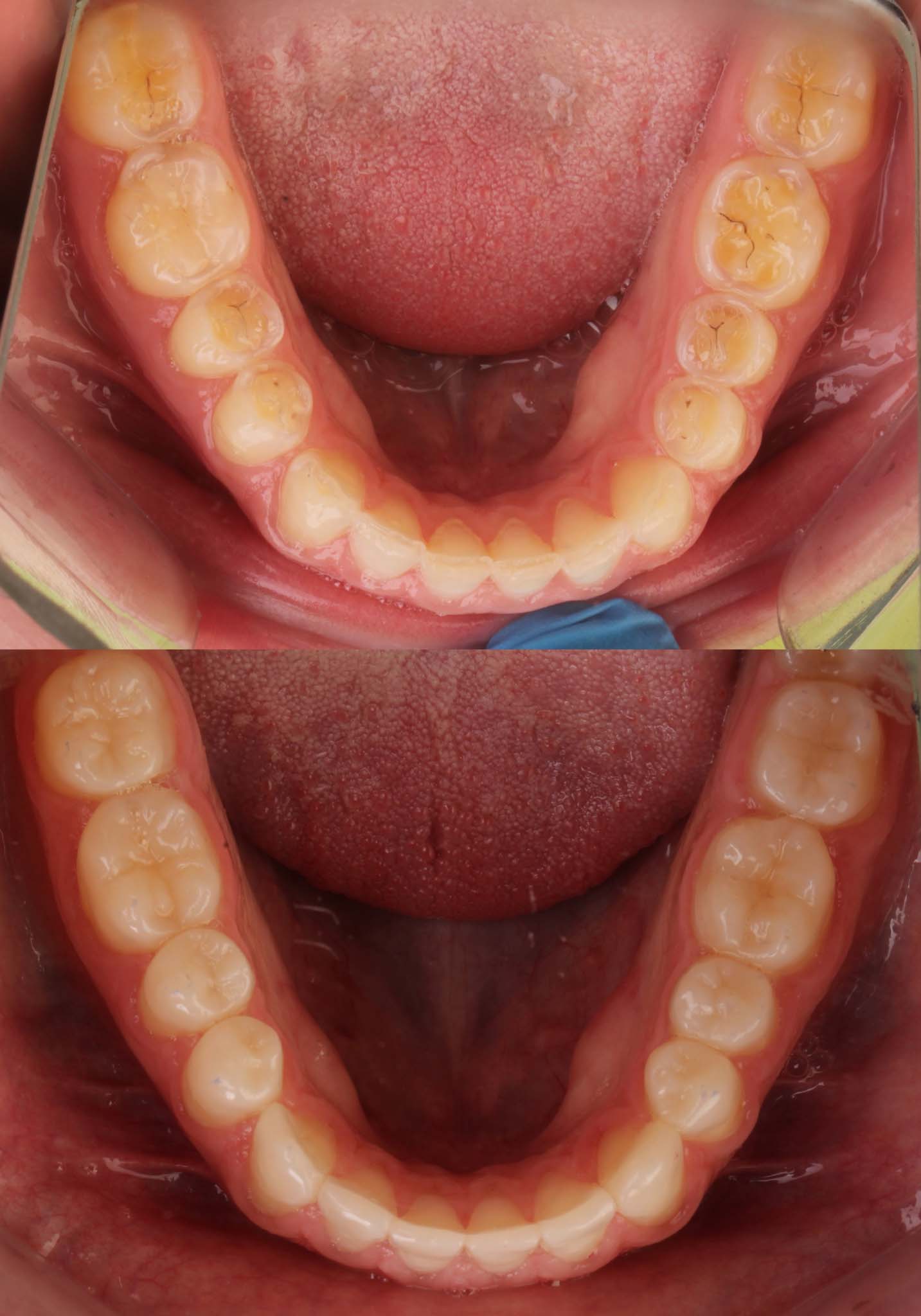
Theoretical part will cover everything about worn dentition and treatment with injectable technique in the posterior region with more than 400 clinical photos an 60 minutes of clinical videos.
Day 2: Practical Part
In practical part all main topics from theoretical day will be demonstrated and later on practiced on the models by participants. Purpose of the hands on is to train participants to implement injectable technique as one of potential treatment options when restoring worn dentition and planning full mouth rehabilitation.
Flowable Injection Technique specialist and speaker:

David Geštakovski, DMD, Zagreb, Croatia
- Doctor of dental medicine, School of dental medicine, University of Zagreb
- Working experience: 3Dental (Dublin, Ireland), Ordinacija Geštakovski (Zagreb, Croatia)
- Specialised for composite veneers, INJECTABLE TECHNIQUE – holding educations, workshops and webinars about Injectable technique – international speaker
- Author of publication in Quintessence International (QI) and International Journal of Esthetic Dentistry (IJED)
- GC key opinion leader on Injectable technique, and clinical moderator at ”Hearth Guided Dentistry” and “Dental scenarios” group.
- Running educational platform „Injecble technique by David Geštakovski“
- YUBAT congress (Istanbul 2018) – Best Clinical Application award
- Member of European Society of Esthetic Dentistry (ESCD)
- HDEDM (Croatian Association of Esthetic Dentistry) student contest
- Best clinical case presentation
- The most precise student
- Awarded with rectors and deans award. Scholarship recipient from University of Zagreb and city of Zagreb (2013–2018)
- President of organising committee of 1st and 2nd Congress of dental student in Zagreb
- Additional education: EVP: Bratislava (2015), Valencia (2016), Stockholm (2017) and Strasbourg (2018); Dublin (2018)
Locations & Dates
CDE – Center of Dental Education
Fußbergstr. 1
82131 Gauting near Munich
Friday 1:00 p.m. – 7:00 p.m. and Saturday 9:00 a.m. – 5:00 p.m.
- 20. – 21. November 2026 (places still available)
For inquiries as to whether individual course places have become available at short notice for fully booked courses, please send us an e-mail to: [email protected]
(Please do not call Dr. Hajtó’s practice for this reason)
Course Fee
1.200 €
This course will count 16 points of Continuing Education Credit (CEC) of BZÄK / DGZMK.
Mit freundlicher Unterstützung von GC Germany










